Perfecta Odontologia

Raio-X Panorâmico Digital

Realize seu raio-X panorâmico digital em Campinas SP na Odonto Perfecta, com imagens detalhadas para diagnósticos precisos e planejamento seguro de tratamentos odontológicos.

Raio-X Panorâmico Digital

Raio-X Panorâmico Digital

Odonto Perfecta · Campinas SP

Raio-X Panorâmico
Digital e Preciso

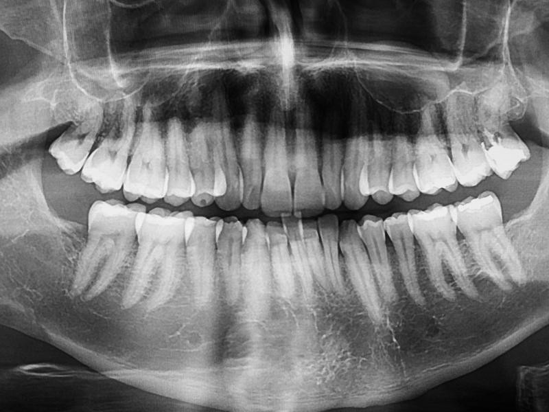
O exame de raio-x panorâmico digital é o ponto de partida seguro para qualquer tratamento odontológico. Ele oferece uma visão ampla e detalhada de todos os dentes, raízes e ossos faciais em apenas alguns segundos.


Benefícios do diagnóstico digital

Visão completa de todos os dentes e ossos maxilares
Emissão de radiação consideravelmente baixa e segura
Imagens de alta resolução disponíveis na mesma hora
Exame rápido, indolor e confortável para o paciente
Essencial para o planejamento de implantes e aparelhos
Detecta problemas silenciosos antes que causem dores
18+

Anos de experiência em diagnósticos odontológicos

100%

Imagens digitais nítidas e de alta precisão na tela

5m

Tempo médio necessário para a realização do exame

3D

Integração visual com planejamentos virtuais da clínica

O que é o raio-x
panorâmico digital?


A radiografia panorâmica digital é um exame de imagem bidimensional que captura toda a boca em uma única tomada. Ele mostra todos os dentes da arcada (inclusive aqueles que ainda não nasceram, como os sisos), as articulações da mandíbula (ATM) e a estrutura óssea ao redor.

Diferente das radiografias antigas que usavam películas de filme e produtos químicos, o sistema eletrônico utiliza sensores avançados que enviam a imagem capturada instantaneamente para a tela do computador. Isso permite ao cirurgião-dentista ampliar a foto, ajustar o contraste e analisar detalhes anatômicos com clareza.

Esse exame atua como um mapa inicial de navegação para a saúde bucal. Com ele, o profissional não trabalha às cegas, garantindo previsibilidade e assertividade para indicar qualquer procedimento restaurador ou cirúrgico.

Baixa Radiação

A tecnologia eletrônica reduz a exposição à radiação em até oitenta por cento quando comparada aos métodos convencionais antigos.

Agilidade

O resultado fica pronto e aparece na tela em poucos segundos, otimizando o tempo da sua consulta odontológica.

Visão Ampla

Permite observar a relação exata entre as raízes, os nervos faciais e a densidade do osso maxilar de uma só vez.

Conforto

O paciente permanece em pé ou sentado, de forma natural, sem a necessidade de colocar placas duras dentro da boca.

A importância do diagnóstico preventivo: Inúmeras lesões orais, como pequenos cistos, infecções periapicais e perdas ósseas iniciais, não manifestam sintomas no início. O exame radiográfico revela essas alterações precocemente, evitando que se tornem urgências dolorosas.

INDICAÇÃO CLÍNICA

Quando o exame
é indicado?


A radiografia é solicitada frequentemente logo na primeira consulta de rotina para um check-up geral e preventivo. Ela fornece ao profissional um documento completo do seu histórico bucal, permitindo avaliar o alinhamento das raízes, a presença de cáries profundas e o nível de suporte ósseo da gengiva.

É uma etapa técnica obrigatória antes de o paciente iniciar tratamentos corretivos com aparelhos ortodônticos, pois evidencia a posição exata das raízes e o espaço mecânico disponível nas arcadas para a movimentação segura dos dentes ao longo dos meses.

Para a cirurgia de extração de terceiros molares (sisos) ou para a fase inicial de planejamento de implantes, a imagem ampla é essencial. Ela sinaliza a proximidade das raízes com feixes nervosos importantes, assegurando que o cirurgião opere com segurança.

A radiografia é amplamente indicada para:

Check-up odontológico de rotina e prevenção
Planejamento para o uso de aparelho ortodôntico
Avaliação cirúrgica para extração de sisos
Estudo inicial para instalar implantes dentários
Investigação de dores na articulação temporomandibular
Acompanhamento do desenvolvimento e trocas na infância

Casos que requerem exames adicionais ou diferentes:

Diagnóstico focado de micro cáries entre os dentes
Planejamento cirúrgico complexo de osso em 3D
Visualização minuciosa de canais e pequenas trincas
Avaliação clínica de tecidos moles e coloração da gengiva
VANTAGENS NA PERFECTA

Por que fazer o exame
no nosso consultório?


Disponibilizamos tecnologia de captação de imagens diretamente no consultório, garantindo conforto, precisão e economia de tempo para o início do seu tratamento dentário.

1

Conveniência Total

Realize o exame de imagem e a avaliação de saúde bucal no mesmo dia e lugar, poupando seu tempo livre e evitando deslocamentos demorados.

2

Qualidade Visual

Nossos sensores geram captações muito nítidas na tela, o que permite que a nossa equipe realize diagnósticos médicos muito mais seguros e detalhados.

3

Menos Radiação

Utilizamos aparelhos rigorosamente calibrados que garantem a menor dose de radiação possível, protegendo a saúde do paciente durante o clique.

4

Sustentabilidade

O sistema virtual em computador anula o uso de substâncias químicas tóxicas e de filmes plásticos reveladores, sendo uma prática amiga da natureza.

5

Comunicação Clara

Com a imagem refletida no monitor na sua frente, o dentista aponta visualmente e de forma educativa todos os passos do plano de tratamento sugerido.

6

Histórico Protegido

A sua documentação fica armazenada digitalmente com segurança, o que facilita o acompanhamento e a comparação da sua melhora ao longo dos anos.

PASSO A PASSO

Como é realizado
o exame radiográfico?


O processo da tomada radiográfica é extremamente simples, limpo e não causa nenhum desconforto, dor ou episódios de ânsia nos pacientes, mesmo naqueles com maior sensibilidade.

Você será orientado e posicionado no centro do aparelho, que executará uma movimentação contínua e suave de giro ao redor do rosto. A etapa inteira costuma levar menos de cinco minutos.

"O diagnóstico por imagem de alta resolução revolucionou a segurança na odontologia, proporcionando clareza e velocidade para encontrar e tratar os problemas orais."

EQUIPE CLÍNICA PERFECTA
1

O Preparo Inicial

Pedimos apenas que o paciente retire brincos de metal, colares, piercings do rosto, óculos e próteses móveis para que não criem sombras ou artefatos na foto.

2

O Posicionamento

Você veste um pesado avental de chumbo de segurança e fica de pé no aparelho, apoiando o queixo suavemente e mordendo uma haste plástica limpa para estabilizar a cabeça.

3

A Captura da Imagem

A parte mecânica e móvel do equipamento gira lentamente ao redor do seu crânio por um período de cerca de vinte segundos contínuos. Não há contato físico ou sustos.

4

Processamento Imediato

Os dados lidos pelo sensor avançado são transferidos em tempo real para o computador da clínica, onde o sistema calibra o contraste e a nitidez rapidamente.

5

A Análise Clínica Conjunta

Logo em seguida, na própria cadeira do consultório, o dentista abre a imagem final e analisa com você o diagnóstico, demonstrando as condições dos ossos e raízes.

Diagnóstico Amplo

Aplicações práticas do exame
no dia a dia da clínica


Exame fundamental para a Ortodontia

O sucesso absoluto de um tratamento que utiliza aparelhos fixos colados ou alinhadores invisíveis modernos tem como base principal um planejamento coerente. O levantamento de imagens permite que o ortodontista calcule o tamanho das raízes escondidas e avalie corretamente se há dentes a mais (supranumerários) que podem barrar e atrapalhar o andamento correto de movimentação dos dentes nas gengivas durante os meses propostos.

Segurança cirúrgica na extração do dente do siso

É uma ocorrência comum os terceiros molares crescerem retidos em inclinações anatômicas bastante desafiadoras no final do osso. O exame evidencia nitidamente se o siso permanece completamente deitado sob a polpa ou se as suas grossas raízes se encontram intimamente apoiadas no grande nervo da mandíbula inferior. Essa visão clara é indispensável para evitar cortes imprecisos que provoquem episódios de formigamento dos lábios após o fim da cirurgia do paciente.

Diagnóstico de cistos e detecção de tumores ósseos

Diferentes doenças bucais graves costumam iniciar seu desenvolvimento destrutivo de forma crônica sem que a pessoa note dores latentes ou sangramentos. A radiografia panorâmica atua como uma barreira protetora formidável e uma valiosa técnica de rastreamento que revela cistos em expansão nas raízes e tumores assintomáticos, propiciando abordagens medicamentosas precoces e elevando a eficácia e a conservação curativa nos tratamentos maxilares mais conservadores da medicina oral.

Monitoramento do crescimento e da saúde infantil

Na odontopediatria atuante, a tomada da imagem se mostra um artifício fabuloso para analisar as trocas dentárias da criança. O profissional verifica prontamente no computador a posição natural de todos os dentes de leite que estão perdendo as raízes, e enxerga claramente os germes dos dentes definitivos que estão apenas aguardando o tempo certo para irromper no meio ósseo, prevenindo o problema de dentes aprisionados devido a arcadas pequenas.

PERGUNTAS FREQUENTES

Dúvidas sobre o uso do
raio-x panorâmico digital


Organizamos as dúvidas mais digitadas pelos pacientes no Google a respeito da segurança contra radiação e a real necessidade deste exame na rotina de consultas.

Ele é um abrangente exame de imagem bidimensional do rosto que capta os ossos superiores, mandibulares e a totalidade das raízes. A finalidade do exame é proporcionar uma visão geral e direta do estado da sua saúde oral. Com ele, avaliamos dentes tortos, avaliamos a base para pinos de implantes, investigamos dores ósseas estranhas e checamos dentes do siso escondidos no fundo da boca.

A realização da tomada radiográfica no modelo digital é considerada incrivelmente segura. A tecnologia mais recente reduziu de forma substancial a carga radioativa exposta na captura. A dose de raios recebida no curto procedimento de poucos segundos chega a ser clinicamente menor do que a radiação de fundo normal proveniente do sol que nosso corpo absorve naturalmente durante alguns dias passeando em ambientes abertos. Além disso, utilizamos de rotina o forte colete de chumbo sobre o corpo do paciente.

Como protocolo de prevenção, as gestantes devem sim evitar se expor a avaliações e exames de radiografias estéticas no período crucial formador do primeiro trimestre. No entanto, diante da ocorrência de emergências dolorosas e dores de infecção grave onde a conduta diagnóstica é indispensável, o raio-x digital odontológico localizado é liberado com certa tranquilidade desde que seja autorizado pela obstetra e com a cobertura plena e obrigatória do espesso avental torácico de chumbo da clínica.

Não é exigido do paciente nenhuma restrição alimentar, dieta ou tempo de jejum. Não há recomendação de pausar as suas medicações cardíacas ou sistêmicas. O único e singelo preparo prático que realizaremos no minuto antes da captura é a solicitação atenciosa de que a pessoa remova todos e quaisquer adornos e peças metálicas como óculos, colares volumosos, brincos pesados e os aparelhos ortopédicos removíveis da face e orelhas, pois geram artefatos opacos visuais de erros e "sombras brancas" espessas que escondem e encobrem dentes importantes na visualização.

A imagem panorâmica proporciona um diagnóstico visual global muito competente, podendo facilmente apontar e confirmar a presença preocupante de lesões infecciosas largas, cistos redondos grandes e abscessos ósseos nas pontas extremas da raiz que causam dores e necessitam da limpeza por tratamento de canal endodôntico. Contudo, em alguns casos, para investigar finíssimos condutos minúsculos das raízes tortas e avaliar pequenas lesões focais, o cirurgião pode complementar o diagnóstico com uma pequena radiografia periapical isolada que possibilita um zoom específico no tecido inflamado ali localizado.

O divisor de águas entre as duas épocas é como a foto interna é processada e mostrada ao médico. O formato tradicional demorava, usava perigosas e fedorentas banheiras de químicos tóxicos para molhar películas em câmara escura e tinha imagens opacas imutáveis. O avançado cenário digital usa um sofisticado leitor de placa de sensor acoplado, repassa instantaneamente os valiosos traçados radiográficos para a nítida tela plana do computador através de cabo e deixa o doutor da Odonto Perfecta realizar o zoom nas partes desconfiadas, oferecendo assertividade brilhante e radiação muito amena.

Faça seu diagnóstico com precisão e
inicie seu tratamento com segurança

Um tratamento de excelência e resultados incríveis invariavelmente começa com a riqueza de detalhes e a clareza clínica que um ótimo exame preventivo de imagem fornece. Não perca tempo e não deixe de tratar e curar os problemas calados, silenciosos e oclusos que afetam internamente o seu precioso organismo e comprometem a durabilidade firme da sua saúde dentária e bucal a longo prazo. Agende logo a sua confortável e tranquila consulta de rotina preventiva na ampla Odonto Perfecta localizada na cidade de Campinas SP, realize seus procedimentos de imagem com comodidade e obtenha um planejamento médico de tratamento totalmente transparente, justo, assertivo e livre de surpresas para o cuidado da sua vida e sorriso.


Agende sua Avaliação

Informe seus dados que entraremos em contato assim que possível

Se preferir entre em contato por WhatsApp ou Telefone

Fale por WhatsApp Clique para Ligar
Conheça os especialistas da clínica
Dra. Michelle Ziroldo
Especialista

Dra. Michelle Ziroldo

A Dra. Michelle Ziroldo é especialista em Ortodontia formada pela USP há 20 anos. Ortodontista e Ortopedista é referência em tratamentos ortodônticos avançados, atende pacientes de toda Campinas e região que buscam alinhamento perfeito, saúde bucal e resultados duradouros.

  • Formada há 20 anos pela Universidade de São Paulo - USP
  • Especialista em Ortodontia
  • Especialista em Ortopedia Funcional dos Maxilares
  • Invisalign Doctor
  • Diploma de Mérito Odontológico da Câmara Municipal de Campinas
Dr. Michel de Carvalho
Especialista

Dr. Michel de Carvalho

O Dr. Michel de Carvalho é especialista em Implantodontia formado pela USP há 22 anos. Professor de implante por mais de 15 anos, é referência em casos complexos e atende pacientes de toda Campinas e região que buscam excelência e resultados duradouros.

  • Formado há 22 anos pela Universidade de São Paulo - USP
  • Especialista em Implantes Dentários
  • Especialista em Prótese sobre Implante
  • Certificado para uso de Óxido Nitroso
  • Diploma de mérito Odontológico da Câmara Municipal de Campinas
Tecnologia de ponta em um ambiente confortável

Procurando Por Clínica de Odontologia para Raio-X Panorâmico Digital em Campinas SP? Encontre Aqui na Perfecta Odontologia Raio-X Panorâmico Digital em Campinas SP - Odontologia para Raio-X Panorâmico Digital em Campinas SP.

Clique para Ligar
Fale por WhatsApp
Fale por WhatsApp